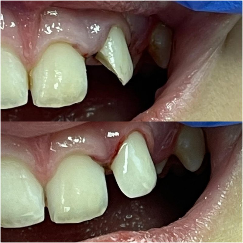
Виниры в Стоматологической клинике Aristidis dental

Подарите себе голливудскую улыбку! Вам предлагаются на выбор новшества и современные продукты в стоматологии. И один из вариантов - установка виниров. Такие микропротезы наносятся на внешнюю часть зубов, делая их белоснежными. Врачи легко выровнят зубной ряд. Виниры обладают массой преимуществ: керамические, фарфоровые или композитные - всё зависит от финансовых затрат.

Акции и скидки

Программа лояльности: кешбэк до 20%
Срок действия
Осталось 8 дней, до 16 марта
Приведи друга и получи скидку
Срок действия
Осталось 267 дней, до 30 ноября
Отбеливание системой Belle 15000 рублей
Срок действия
Осталось 176 дней, до 31 августа

Фотогалерея

Отзывы

5,0
Юлиана
Очень понравился профессионализм доктора. Он ориентирован на клиента, проявляет высокий уровень сервисности и компетентности. Доктор отличный, таких сейчас мало. Помог мне с разными вопросами, включая имплантацию, отбеливание и гигиену. Я проходила профессиональную гигиену, все было выполнено аккуратно и качественно, 100 из 100.
27 января 2026 Отзыв взят с сайта Zoon.ru
5,0
Юлия
Мне удалось записаться на приём в тот же день, когда мне это было срочно нужно, это мне очень понравилось. Врач проявил себя как максимально заботливый стоматолог. Он всё сделал для того, чтобы процедура удаления флюса прошла для меня безболезненно. Мы выполнили всё необходимое, теперь я жду, пока всё заживёт и планирую вернуться, чтобы долечить оставшиеся зубы.
24 января 2026 Отзыв взят с сайта Zoon.ru
5,0
Ольга
Мы лечим зубы в этой клинике уже много лет, нравится хорошее отношение и качественные услуги, пломбы держатся долго, ничего не болит. Последний раз мне удаляли зуб, всё прошло отлично. Главный совет от доктора был не запускать свои зубы. Выбрали эту клинику, потому что жили рядом.
25 декабря 2025 Отзыв взят с сайта Zoon.ru
5,0
Мария
Только и хожу в эту клинику, потому что всё меня здесь устраивает. Недавно ставили пломбу у Аристида Петровича и снова всё прошло хорошо. Главное, что я нашла врача, которому доверяю, годами к нему хожу и менять не планирую.
23 декабря 2025 Отзыв взят с сайта Zoon.ru
5,0
Наталья
Я прихожу в эту стоматологическую клинику уже 20 лет к доктору Будагову Аристиду Петровичу и меня всегда всё устраивает. Мне нравится подход врача без накрученных услуг, всё только по факту. В последний раз я у него ставила коронку. В самой клинике чисто и уютно, работа администраторов на ресепшене тоже хорошая.
23 декабря 2025 Отзыв взят с сайта Zoon.ru
5,0
Марика Черкезова
Хочу выразить Вам свою огромную благодарность за колоссальную помощь, за отзывчивость, за качественное лечение, за врачебную этику и за профессионализм в своем деле. Спасибо Вам за Вашу бесконечную доброту и теплое отношение. Желаю Вам всего самого наилучшего и только благодарных пациентов.
30 сентября 2021 Отзыв взят с сайта Zoon.ru
5,0
Юрий Куркин
На этой неделе у меня прошла операция по установке имплантов в клинике Аристидис Дентал. Хочу выразить огромную благодарность и признательность Аристиду Петровичу и Наталье Геннадьевне за такую деликатную, кропотливую и аккуратную работу. Установили 6 имплантов, но я ничего не почувствовал 😄 А готовился к болезненной и сложной работе. Все так аккуратно, быстро и мега-профессионально! Еще хотелось бы отметить шикарную обстановку и уютную, гостеприимную атмосферу. Продумано все до мельчайших деталей, для комфорта пациента! Сердечно благодарю весь персонал!
30 ноября 2019 Отзыв взят с сайта Zoon.ru
0,0
Аноним
Замечательная клиника. Ставила себе виниры, и имплант. От качества просто в шоке, у врача Аристида Петровича золотые руки. Оценка 5/5, однозначно!
16 сентября 2019 Отзыв взят с сайта Zoon.ru
Удалить отзыв

Популярные услуги

Остались вопросы?

Вы можете воспользоваться любым из указанных способов связи
Контактный номер
+7 (901) 494-69-... Показать
Мессенджеры